Abstract
Introduction: Despite the advances in the treatment of MPN, the disease remains incurable with little remission rates and evolution to AML or Myelofibrosis (MF). MPN pathogenesis has been extensively studied but the evolution to MF remains poorly understood. In this study, using multiomic and functional approaches we comprehensively characterized mesenchymal stromal cells (MSCs) from fibrotic MPN patients (F-MPN) and identified a novel potentially druggable axis involved in the fibrosis phenotype.
Methods: We characterized MSCs expanded from 13 MF patients (WHO criteria) (F-MSC) and from 17 age-matched healthy controls. The expanded F-MSCs were analyzed by immunophenotyping, Luminex cytokine array, RNA-seq and ATAC-seq techniques. The findings were validated using RT-qPCR, ChIP and differentiation assays while functional in vitro assays leaned on the HS-5 cell line and knock-down assays.
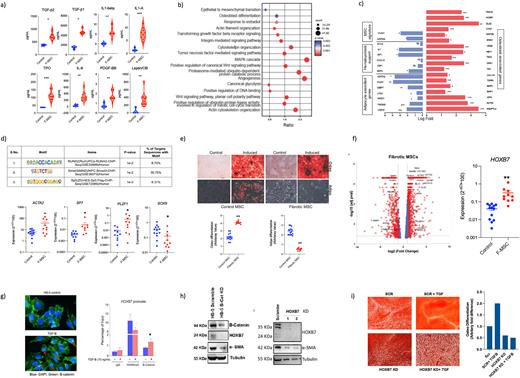
Results: Immunophenotyping of F-MSCs, showed a significant differential expression of MSC markers compared to controls (decrease of CD90, CD73, CD106, CD140a, increase of CD105, CD295). As expected in a fibrotic tissue, F-MSCs secreted higher levels of inflammatory cytokines such as IL-1a, IL-1b, IL-8, Lipocalin, Leptin, VEGF, PDGF, , IGFBP2 and TGF-B (p<0.05, (fig a). The transcriptomic analysis of F-MPN samples further confirmed their fibrotic phenotype with enrichment of genes associated with fibrosis in signaling pathways such as actin filament organization, TGF-B receptor and Wnt (GSEA) (fig b). RNA-Seq highlighted two novel correlated findings of F-MPN stroma. First: an enrichment for genes of the osteoblast differentiation (fig b&c), underscored by ATAC-seq pointing to an enrichment for osteoblast differentiation transcription factor motifs (RUNX2, SMAD, SP5), an increased accessibility for ACTA2 (fibrotic/osteoblast gene) and decreased accessibility for adipocyte (PPARG) and chondrocyte (SOX9) transcription factors (P<0.002) (fig d). In vitro differentiation confirmed the F-MPN stroma biased differentiation towards osteoblast differentiation with reduced adipocyte and chondrocyte differentiation (P=0.0001, fig e). Second, a gene not previously linked to MPN fibrosis, HOXB7, was identified among the top 20 highly deregulated genes (fig f); RT-qPCR confirmed the significant upregulation of HOXB7 in F-MPN samples (P=0.002, fig f). HOXB7 is known as the most relevant HOXB gene associated with osteoblast differentiation. To functionally link these two novel gene profiles (ie the increased osteoblast differentiation pathway and HOXB7 gene expression) functional analyses of TGF-B treated F-MSCs showed, along with the reported activation of the Wnt pathway (increase, stabilization and translocation to the nucleus of B-Catenin), an increased binding of B-catenin to the promoter of HOXB7 (ChIP assay) followed by increased expression of HOXB7 (P=0.05) (fig g). Finally, shRNA-mediated knockdown or incubation with inhibitors (Cardamonin or FZM1) against HOXB7 or Wnt signalling resulted in decreased expression of osteoblast/fibrosis target genes and reduced osteoblast differentiation (fig h & i).
Conclusion: We identify a novel molecular and functional TGFB-WNT-HOXB7 activated axis in the development of a fibrotic phenotype. Invalidation studies demonstrated that this novel axis can be targeted which may counteract fibrotic evolution in MPN.
Figure: a) Luminex analysis showing upregulation of inflammatory cytokines secreted from fibrotic MSC in comparison to control MSCs. b-c) GSEA plot of RNA-seq showing enrichment of fibrosis associated pathway and of osteoblast differentiation pathway. d) ATAC-seq motif analysis showing an enrichment of osteoblast associated transcription factors and RT-qPCR showing an upregulation of genes involved in osteoblast differentiation and fibrosis. e) Osteo and Adipo differentiation of expanded stroma: increased osteogenesis and decreased adipogenesis. f) Volcano plot showing differential gene expression in F-MSC: HOXB7 was validated using RT-qPCR. g) increased translocation of B-Catenin subunit in the nucleus of HS-5 cells upon TGF-B treatment and ChIP showing B-Catenin bound to the promoter of HOXB7 h) B-catenin or HOXB7 knock down resulted in reduction of fibrotic/osteoblast genes (ACTA2/a-SMA). i) HOXB7 knockdown in HS-5- cells led to reduced osteoblast differentiation compared to scrambled (SCR) shRNA.
Disclosures
Gou:Rigel Pharmaceuticals: Other: supplies fostamatinib for our NIH funded clinical trials . Soret:Novartis: Consultancy. Kiladjian:Incyte: Membership on an entity's Board of Directors or advisory committees; AbbVie: Membership on an entity's Board of Directors or advisory committees; BMS: Membership on an entity's Board of Directors or advisory committees; AOP Orphan: Membership on an entity's Board of Directors or advisory committees; Novartis: Membership on an entity's Board of Directors or advisory committees.
Author notes
Asterisk with author names denotes non-ASH members.

This feature is available to Subscribers Only
Sign In or Create an Account Close Modal